The way I see it is independent scientists provide detailed information on important findings. Paid scientists then refute their findings with shallow claims that don’t actually disprove anything. This would make a great documentary, and would need to include (but not be limited to) the medical scandals such as probable data fabrication in Pfizer trials; Lancetgate; the Together Trial; and the diabolical story about Andrew Hill’s corrupted research findings.
‘Irrefutable Proof’ That mRNA Vaccines Cause Vascular and Organ Damage: Study
Enrico Trigoso, Epoch Times, 9 September 2022 (Archive version here)
A recent study claims to have found “irrefutable proof of causality” that the mRNA vaccines cause vascular and organ damage.
The study, conducted by microbiologists Dr. Michael Palmer and Dr. Sucharit Bhakdi, was mostly based on the findings of German pathologists Dr. Arne Burkhardt and Dr. Walter Lang.
Here is a summary of the findings:
- mRNA vaccines don’t stay at the injection site; they instead travel throughout the body and accumulate in various organs.
- mRNA-based COVID vaccines induce long-lasting expression of the SARS-CoV-2 spike protein in many organs.
- Vaccine-induced expression of the spike protein induces autoimmune-like inflammation.
- Vaccine-induced inflammation can cause grave organ damage, especially in vessels, sometimes with deadly outcomes.
“This study, by the type of dyes they use, shows irrefutable proof that the spike protein goes everywhere—heart, ovary, liver, spleen—and to a lesser extent, testes.” Dr. Sherri Tenpenny, an expert in vaccine damage, told The Epoch Times.
“This is what leads to multi-organ system failure. This is what leads to infertility in women.”
“There has been a lot of hypothesis about the damage these shots cause. Now, with these pathology slides and the specific types of immunochemistry staining, Bhakti and Palmer show—unequivocally—that the spike protein is quickly disseminated to every organ they examined,” Tenpenny said.
“They are both pathologists; looking at slides of tissue under a microscope and appropriately staining tissue is what they are trained to do!” she added.
“Those of us who warned of the dangers of these COVID shots were widely censored and ridiculed,” Dr. Christiane Northrup, former fellow in the American College of Obstetricians and Gynecologists, told The Epoch Times.
“I wish we had been wrong. We weren’t. And we finally have irrefutable proof,” Northrup added.
According to toxicologist Janci Lindsay, Ph.D., who has been following the COVID vaccine story since its inception, the most valuable takeaway from this study is that it “corroborates” Markus Aldén et al.’s findings (in-vitro) that Pfizer’s COVID-19 vaccine may be transcribed into cellular DNA—in an in-vivo system.
In-vitro, which means “in glass” in Latin, refers to when a test or process is done in a test tube or outside a living organism. In-vivo (within the living) means the studies are done in living organisms.
That the vaccine quickly distributes through the body was a finding present in Pfizer’s own animal experiments.
“The subject was deceased but the examination of their tissue showed that they were expressing the spike protein, nine months after the injection of the genetic vaccine,” Lindsay told The Epoch Times.
The only three possible ways that the abovementioned could happen, she explains, are when:
- mod-mRNA is stable in the body for nine months.
- The mRNA has been integrated into the genome, such as in the Aldén study.
- The person was around somebody who was recently vaccinated and the mRNA was transmitted.
The Palmer and Bhakdi study says that the “limited experimental studies available (2015, 2018)” indicate that the injected modified mRNA should degrade “within days to a few weeks of the injection.”
But, “this is obviously difficult to square with the observed long-lasting expression; in some form or other, the genetic information appears to be perpetuated in-vivo,” the study states.
“Their findings of spike expression nine months out from [taking the vaccine] support either genomic integration of the mRNA coding the spike protein into the genome of the cells shown expressing it, or, that the synthetically modified messenger RNA is remaining stable within these cells months after it was supposed to be degraded,” Lindsay said.
“This constitutive expression of the spike protein would exhaust the immune system and/or eventually possibly make it non-responsive or tolerant to the spike protein, allowing for untold spike-mediated damage,” she added.
Method
The methods used by Dr. Burkhardt are called histopathology and immunohistochemistry.
The technique is explained in the study: “If a vaccine particle—composed of the spike-encoding mRNA, coated with lipids—enters a body cell, this will cause the spike protein to be synthesized within the cell and then taken to the cell surface. There, it can be recognized by a spike-specific antibody.”
“After washing the tissue specimen to remove unbound antibody molecules, the bound ones can be detected with a secondary antibody that is coupled with some enzyme, often horseradish peroxidase,” it reads. “After another washing step, the specimen is incubated with a water-soluble precursor dye that is converted by the enzyme to an insoluble brown pigment. Each enzyme molecule can rapidly convert a large number of dye molecules, which greatly amplifies the signal.”
“Histo” comes from the Greek word for “web, tissue.”

Image 3: Expression of viral proteins can be detected with immunohistochemistry. (Michael Palmer, MD, Sucharit Bhakdi, MD)
“At the top right of the image, you can see two cells which were exposed to the Pfizer vaccine and then subjected to the protocol outlined above. The intense brown stain indicates that the cells were indeed producing the spike protein,” the study reads, referring to image 3.

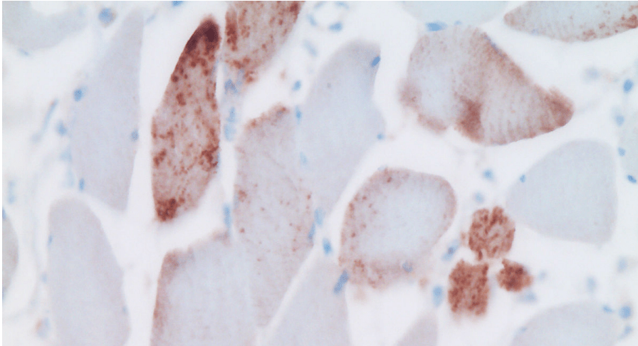
Expression of spike protein in shoulder muscle after vaccine injection. (Michael Palmer, MD, Sucharit Bhakdi, MD)
Rebuttal
Health Feedback, a member of the Vaccine Safety Net led by the WHO, on Sept. 3 said that these claims are “unsubstantiated.”
“The idea that mRNA from COVID-19 vaccines can remain in our bodies in the long term is a common myth with no scientific basis,” the WHO fact-checking branch states.
“mRNA from vaccines is fragile and gets rapidly degraded by cellular machinery once it has delivered the genetic instructions. The spike protein generated by COVID-19 vaccines is thought to remain in the body for up to a few weeks, like other proteins made by the body,” they add.
Blood Vessel Inflammation
The second biggest discovery, Lindsay believes, would be the observation of endothelial damage—inflammation and denuded endothelial cells inside the blood vessels.
Endothelium is the tissue that lines the blood vessels and other organs, such as the heart.
“Spike protein disease is an endothelial disease—very key to myocarditis, etc.,” Dr. Tenpenny said.

Endothelial stripping and destruction of a small blood vessel after vaccination. (Michael Palmer, MD, Sucharit Bhakdi, MD)
Dr. Wade Hamilton, a cardiologist who has been punished by the medical establishment for giving an exemption to a COVID vaccine, commented on the study.
“The first 13 items in and of themselves are major reason for concern and halting the COVID shot use,” Hamilton told The Epoch Times.
“Item 14 (Aldén study), which concerns the possibility that the shot can alter the DNA of recipients and subsequently the DNA of their offspring, is of great concern,” Hamilton said.
“The paper I have sent (comment on Aldén et al.) raises unanswered questions, the three easiest to understand are:
- The dose of mRNA used in this study is higher than mRNA in the COVID shot.
- The Alden study is in-vitro (not in-vivo) and the normal human immune and chemical protections are not present.
- The liver cells used in the experiment are liver cancer cells and their response to reverse transcriptase may not be typical.
“It is possible as queried in the comment on Aldén et al. paper, that persistent pieces of DNA or mRNA in people with COVID lead to persistent circulating spike protein as a cause of long COVID. Furthermore, the same symptoms could be produced via an analogous mechanism by the COVID shot as well,” he added.
Burkhardt and Lang
The Palmer and Bhakdi paper says that Burkhardt and Lang studied many cases of people who died months or days after getting the COVID vaccine.
In all of these cases, the cause of death was documented as “natural” or “unknown.”
Some members of the families of those deceased had doubts about the verdicts of their causes of death and wanted to double-check.
According to the study, Burkhardt found “the majority of these deaths to be due to vaccination.”
The Epoch Times recently reported that several embalmers across the country have been observing many large, and sometimes very long, “fibrous” and rubbery clots inside the corpses they treat, and are speaking out about their findings. Some doctors believe them to be connected to the vaccines.
‘Irrefutable Proof’ Study on mRNA Vaccines Causing Damage: Doctors Respond to WHO Fact-Checking Branch
‘Quite simply a hit job without any scientific merit’
Enrico Trigoso, Epoch Times, 9 September 2022 (Archive version here)
Two microbiologists wrote a counterargument to a piece by “Health Feedback” that challenged their August publication titled “Vascular and organ damage induced by mRNA vaccines: irrefutable proof of causality.”
Dr. Michael Palmer and Dr. Sucharit Bhakdi said in a statement sent to The Epoch Times on Sept. 18 that the Health Feedback article is “quite simply a hit job without any scientific merit.”
“Throughout her entire commentary, [Health Feedback’s] Dr. Carballo-Carbajal has avoided to substantially address the evidence presented by Dr. Burkhardt and his colleagues, as well as our interpretations of it,” Palmer and Bhakdi wrote.
Their study builds upon the findings of German pathologists Dr. Arne Burkhardt and Dr. Walter Lang using histopathology and immunohistochemistry to detect vaccine-induced expression of the spike protein.
“In the foci of inflammation, the vaccine-induced expression of spike protein had also been demonstrated, indicating very strongly a causal chain from vaccination to vascular and organ damage and ultimately death,” they stated in their recent counterargument.
Health Feedback published the rebuttal of the microbiologists’ study on Sept. 3. The author is Dr. Iria Carballo-Carbajal, science editor of the publisher.
Health Feedback said that “the two authors of the article have a history of spreading misinformation about COVID-19 and COVID-19 vaccines,” and cited a series of links.
Palmer answered: “In support of this statement, she merely assembles a list of links, but she makes no argument as to the facts whatsoever. Her statement, therefore, amounts to no more than slander.”
Health Feedback, which is a member of the Vaccine Safety Net led by the World Health Organization (WHO), did not respond to a request for comment by The Epoch Times.
Lipid Nanoparticle Distribution
Palmer and Bhakdi maintain that Health Feedback’s rebuttal has many issues, but they only addressed the main ones to save time.
One of these is the dispute on lipid nanoparticle distribution.
“Palmer and Bhakdi cited biodistribution data submitted by Pfizer to Japan’s regulatory body Pharmaceuticals and Medical Devices Agency (PMDA) to support the claim that ‘the vaccine quickly distributes through the body.’ However, this is misleading because Pfizer’s data actually showed that the majority of the lipid nanoparticles remained on the injection site, and only a tiny fraction traveled to other tissues,” Health Feedback wrote.
“As Health Feedback explained in an earlier review, pages 5 and 6 of the technical document submitted by Pfizer show that most of the lipid nanoparticles administered (52.6 percent) remained at the injection site at one hour post-injection, and 18.1 percent went to the liver at eight hours post-injection,” the WHO group stated.
Bhakdi and Palmer responded to this issue: “What [the author] does not mention is that already after two hours that value has dropped to below one third of the total. A problem with this entire data set, however, is that the total of all of the organs combined never adds up to 100 percent. Without going into too much detail, this is to be expected, given the technical difficulties of such measurements.”
They further argue that the results would be much more variable in humans than in rats, and note that “injection into the highly vascularized deltoid muscle of a young athlete should result in substantially higher systemic distribution than that into the typically much less used and less perfused muscle of an elderly person.”
There have been recent reports of healthy athletes suddenly dying in larger numbers than usual.
“A substantial fraction of the vaccine must be assumed to be taken up into the system, where it may give rise to spike protein expression and subsequent organ damage—and no more than this was expressed in our article,” the doctors’ joint statement read, adding that this is the crux of the matter.
Spike Protein Expression
Another focus for debate is the period of time that the spike protein is expressed in the human body after vaccination.
Health Feedback states that there is no evidence indicating that mRNA COVID-19 vaccines cause “long-lasting expression” of the virus’s spike protein.
“The idea that mRNA from COVID-19 vaccines can remain in our bodies in the long term is a common myth with no scientific basis. mRNA COVID-19 vaccines deliver the genetic instructions to the muscle cells to produce the spike protein of SARS-CoV-2. Thus, they train our immune system to recognize and respond more rapidly to the virus if it encounters the virus in the future,” Health Feedback said.
The microbiologists disagree: “The ‘common myth’ is in fact supported by solid evidence. The mRNA, and the spike protein expressed from it, were demonstrated in lymph nodes near the injection site for up to 60 days after injection by Röltgen et al.”
“Long-lasting persistence of the vaccine mRNA in skeletal muscle tissue distant from the injection site was recently reported by Magen et al,” they said. “Finally, long-lasting persistence of the spike protein in the bloodstream, and therefore again longlasting expression, was also confirmed by Bansal et al. Burkhardt’s detection of long lasting spike protein expression by immunohistochemistry thus fits the overall picture of the available evidence, but it does extend the time horizon of persistence to up to nine months after injection.”
The final big point that was debated was Dr. Burkhardt and Dr. Lang’s pathological research of patients whose families requested a second verdict on their loved one’s death.
“The autopsy findings discussed in our article were provided to us by Dr. Arne Burkhardt, an emeritus professor of pathology with extensive diagnostic experience—he has evaluated approximately 40,000 autopsies over the course of his career. He reviewed and approved the text of our article before its publication.”
A detailed discussion on lymphocyte accumulation can be read here (pdf).